Case Report Renal Artery Thrombosis . To the best of our knowledge this. Web in this case report, the authors review a case of renal infarction caused by renal artery thrombosis in a patient with risk factors for. Web  in this case report, the authors review a case of renal infarction caused by renal artery thrombosis in a patient with risk.
        
         
         
        from revistas.unc.edu.ar 
     
        
        Web in this case report, the authors review a case of renal infarction caused by renal artery thrombosis in a patient with risk factors for. To the best of our knowledge this. Web  in this case report, the authors review a case of renal infarction caused by renal artery thrombosis in a patient with risk.
    
    	
            
	
		 
	 
         
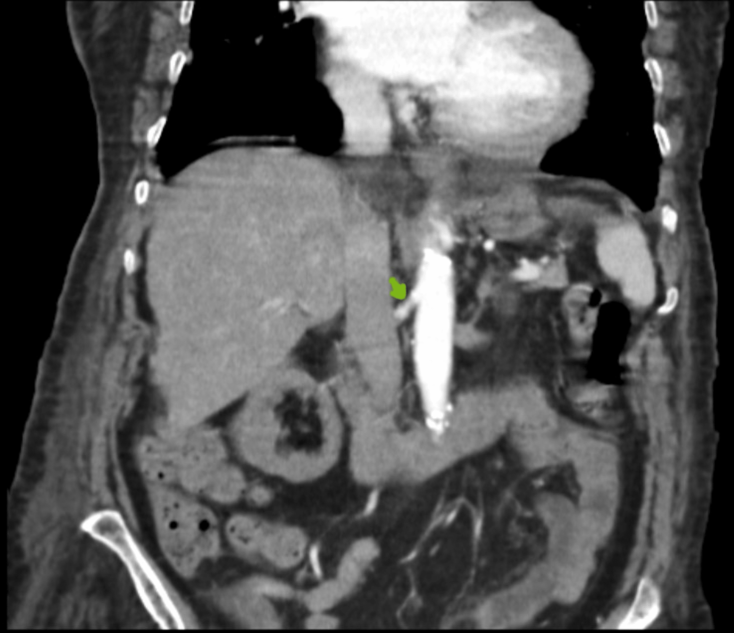
    Figure 3 CT scan showing left renal artery thrombosis (white asterisk 
    Case Report Renal Artery Thrombosis  Web  in this case report, the authors review a case of renal infarction caused by renal artery thrombosis in a patient with risk. Web in this case report, the authors review a case of renal infarction caused by renal artery thrombosis in a patient with risk factors for. Web  in this case report, the authors review a case of renal infarction caused by renal artery thrombosis in a patient with risk. To the best of our knowledge this.
            
	
		 
	 
         
 
    
         
        From www.researchgate.net 
                    (PDF) Acute thrombosis of a transplanted renal artery after gastric Case Report Renal Artery Thrombosis  Web in this case report, the authors review a case of renal infarction caused by renal artery thrombosis in a patient with risk factors for. Web  in this case report, the authors review a case of renal infarction caused by renal artery thrombosis in a patient with risk. To the best of our knowledge this. Case Report Renal Artery Thrombosis.
     
    
         
        From revistas.unc.edu.ar 
                    Figure 3 CT scan showing left renal artery thrombosis (white asterisk Case Report Renal Artery Thrombosis  To the best of our knowledge this. Web  in this case report, the authors review a case of renal infarction caused by renal artery thrombosis in a patient with risk. Web in this case report, the authors review a case of renal infarction caused by renal artery thrombosis in a patient with risk factors for. Case Report Renal Artery Thrombosis.
     
    
         
        From www.researchgate.net 
                    (PDF) Triple threat bilateral renal artery thrombosis and heparin Case Report Renal Artery Thrombosis  Web  in this case report, the authors review a case of renal infarction caused by renal artery thrombosis in a patient with risk. To the best of our knowledge this. Web in this case report, the authors review a case of renal infarction caused by renal artery thrombosis in a patient with risk factors for. Case Report Renal Artery Thrombosis.
     
    
         
        From www.researchgate.net 
                    (PDF) Acute bilateral renal vein thrombosis diagnosis and management a Case Report Renal Artery Thrombosis  Web in this case report, the authors review a case of renal infarction caused by renal artery thrombosis in a patient with risk factors for. Web  in this case report, the authors review a case of renal infarction caused by renal artery thrombosis in a patient with risk. To the best of our knowledge this. Case Report Renal Artery Thrombosis.
     
    
         
        From www.cureus.com 
                    Cureus Bilateral Renal Artery Thrombosis A Case of Successful Kidney Case Report Renal Artery Thrombosis  Web in this case report, the authors review a case of renal infarction caused by renal artery thrombosis in a patient with risk factors for. To the best of our knowledge this. Web  in this case report, the authors review a case of renal infarction caused by renal artery thrombosis in a patient with risk. Case Report Renal Artery Thrombosis.
     
    
         
        From pacs.de 
                    renal artery thrombosis pacs Case Report Renal Artery Thrombosis  Web in this case report, the authors review a case of renal infarction caused by renal artery thrombosis in a patient with risk factors for. Web  in this case report, the authors review a case of renal infarction caused by renal artery thrombosis in a patient with risk. To the best of our knowledge this. Case Report Renal Artery Thrombosis.
     
    
         
        From www.nejm.org 
                    Diagnosis and Management of RenalArtery Thrombosis — Report of a Case Case Report Renal Artery Thrombosis  To the best of our knowledge this. Web in this case report, the authors review a case of renal infarction caused by renal artery thrombosis in a patient with risk factors for. Web  in this case report, the authors review a case of renal infarction caused by renal artery thrombosis in a patient with risk. Case Report Renal Artery Thrombosis.
     
    
         
        From dokumen.tips 
                    (PDF) Acute Renal Artery and Vein Thrombosis after RenalAnnals of Case Report Renal Artery Thrombosis  Web  in this case report, the authors review a case of renal infarction caused by renal artery thrombosis in a patient with risk. Web in this case report, the authors review a case of renal infarction caused by renal artery thrombosis in a patient with risk factors for. To the best of our knowledge this. Case Report Renal Artery Thrombosis.
     
    
         
        From www.researchgate.net 
                    (PDF) Acute transplant renal artery thrombosis due to distal renal Case Report Renal Artery Thrombosis  Web  in this case report, the authors review a case of renal infarction caused by renal artery thrombosis in a patient with risk. Web in this case report, the authors review a case of renal infarction caused by renal artery thrombosis in a patient with risk factors for. To the best of our knowledge this. Case Report Renal Artery Thrombosis.
     
    
         
        From www.researchgate.net 
                    (PDF) Renal artery thrombosis. A case report and literature review Case Report Renal Artery Thrombosis  Web in this case report, the authors review a case of renal infarction caused by renal artery thrombosis in a patient with risk factors for. To the best of our knowledge this. Web  in this case report, the authors review a case of renal infarction caused by renal artery thrombosis in a patient with risk. Case Report Renal Artery Thrombosis.
     
    
         
        From www.cureus.com 
                    Cureus Bilateral Renal Artery Thrombosis A Case of Successful Kidney Case Report Renal Artery Thrombosis  Web  in this case report, the authors review a case of renal infarction caused by renal artery thrombosis in a patient with risk. To the best of our knowledge this. Web in this case report, the authors review a case of renal infarction caused by renal artery thrombosis in a patient with risk factors for. Case Report Renal Artery Thrombosis.
     
    
         
        From www.researchgate.net 
                    (PDF) Traumatic Renal Artery Thrombosis Treated by Splenorenal Bypass—A Case Report Renal Artery Thrombosis  Web in this case report, the authors review a case of renal infarction caused by renal artery thrombosis in a patient with risk factors for. Web  in this case report, the authors review a case of renal infarction caused by renal artery thrombosis in a patient with risk. To the best of our knowledge this. Case Report Renal Artery Thrombosis.
     
    
         
        From www.researchgate.net 
                    (PDF) 17211 CASE REPORT LATE THROMBOSIS OF RENAL GRAFT ARTERY Case Report Renal Artery Thrombosis  To the best of our knowledge this. Web  in this case report, the authors review a case of renal infarction caused by renal artery thrombosis in a patient with risk. Web in this case report, the authors review a case of renal infarction caused by renal artery thrombosis in a patient with risk factors for. Case Report Renal Artery Thrombosis.
     
    
         
        From www.researchgate.net 
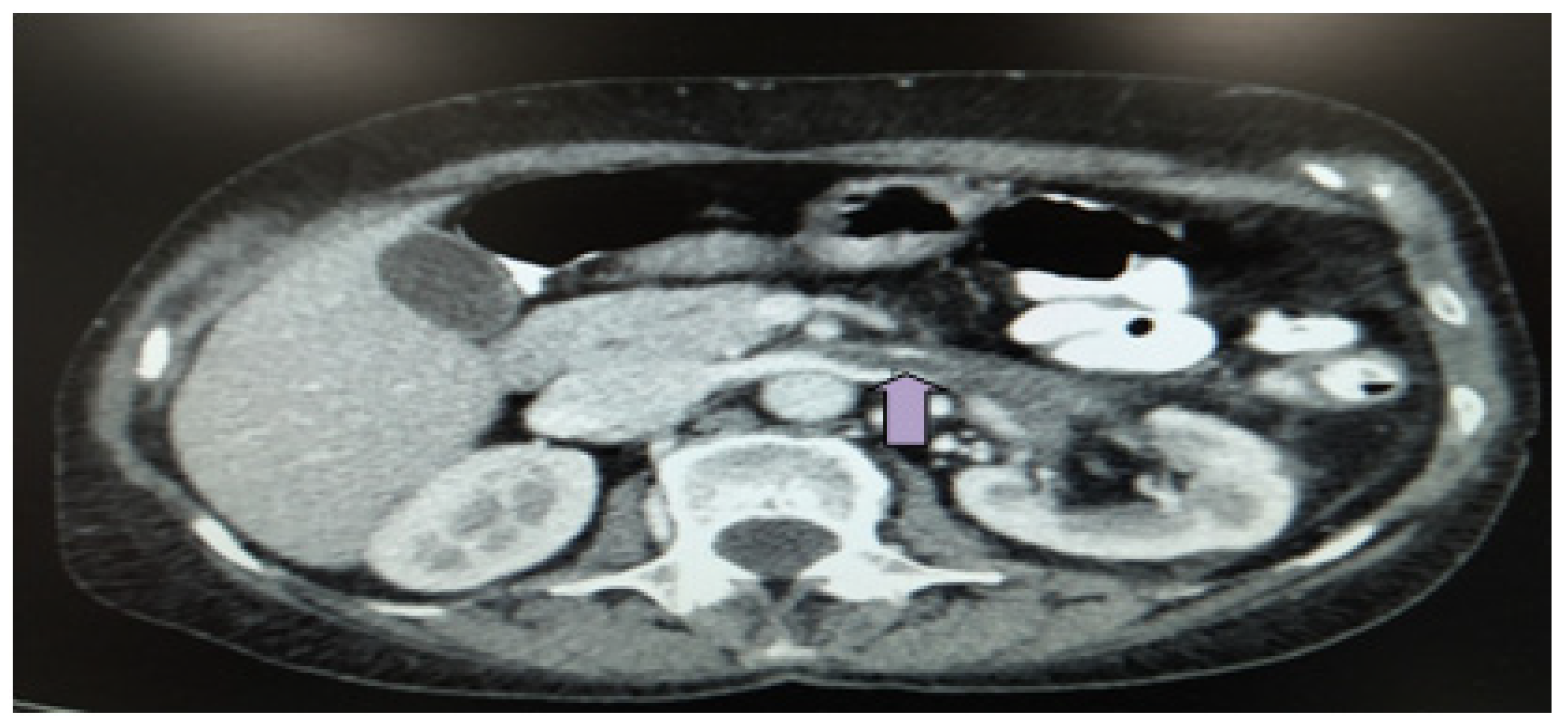
                    CT image of subocclusive thrombus of right renal artery (right arrow Case Report Renal Artery Thrombosis  To the best of our knowledge this. Web in this case report, the authors review a case of renal infarction caused by renal artery thrombosis in a patient with risk factors for. Web  in this case report, the authors review a case of renal infarction caused by renal artery thrombosis in a patient with risk. Case Report Renal Artery Thrombosis.
     
    
         
        From www.mdpi.com 
                    Life Free FullText Acute Renal Vein Thrombosis Following COVID19 Case Report Renal Artery Thrombosis  Web in this case report, the authors review a case of renal infarction caused by renal artery thrombosis in a patient with risk factors for. Web  in this case report, the authors review a case of renal infarction caused by renal artery thrombosis in a patient with risk. To the best of our knowledge this. Case Report Renal Artery Thrombosis.
     
    
         
        From www.semanticscholar.org 
                    Figure 1 from Renal Artery Thrombosis in a Bodybuilder using Anabolic Case Report Renal Artery Thrombosis  To the best of our knowledge this. Web in this case report, the authors review a case of renal infarction caused by renal artery thrombosis in a patient with risk factors for. Web  in this case report, the authors review a case of renal infarction caused by renal artery thrombosis in a patient with risk. Case Report Renal Artery Thrombosis.
     
    
         
        From vdocuments.mx 
                    Traumatic Renal Artery Thrombosis Treated by Splenorenal Bypass—A Case Case Report Renal Artery Thrombosis  Web  in this case report, the authors review a case of renal infarction caused by renal artery thrombosis in a patient with risk. Web in this case report, the authors review a case of renal infarction caused by renal artery thrombosis in a patient with risk factors for. To the best of our knowledge this. Case Report Renal Artery Thrombosis.
     
    
         
        From pubs.rsna.org 
                    Imaging of Renal Trauma A Comprehensive Review RadioGraphics Case Report Renal Artery Thrombosis  Web in this case report, the authors review a case of renal infarction caused by renal artery thrombosis in a patient with risk factors for. Web  in this case report, the authors review a case of renal infarction caused by renal artery thrombosis in a patient with risk. To the best of our knowledge this. Case Report Renal Artery Thrombosis.